Радик из России: Победа над двумя раками без скальпеля и свищей
Малоинвазивная интервенционная терапия помогла победить синхронный рак легкого и колоректальный рак, когда хирурги всего мира предлагали только калечащие операцииИстория пациента: Радик, 63 года, Россия. Диагноз: Два первичных очага: плоскоклеточный рак легкого и аденокарцинома прямой кишки (синхронный рак). Тактика лечения: Курс интервенционной терапии (химоэмболизация). Результат: Очаг в легком практически неактивен, опухоль в кишечнике уменьшилась на 90%. Полное восстановление качества жизни.
Двойной удар: когда надежда тает на глазах В октябре 2022 года плановый осмотр обернулся для Радика из Казани суровым испытанием. Диагнозы сыпались один за другим: сначала биопсия подтвердила аденокарциному прямой кишки, а через месяц - плоскоклеточный рак легкого. Шанс столкнуться с двумя первичными раками одновременно - всего около 2%. Казалось, судьба обрушила на него всю свою суровость. Предложения врачей в России и даже в Турции были единогласны: масштабная хирургия. Удаление 70% легкого и формирование пожизненной кишечной стомы («калового мешка»). Для Радика это звучало как приговор, где жизнь после лечения казалась бы хуже самой болезни. Он чувствовал себя в ловушке без выхода.
Суть метода: Под контролем рентгена через микропрокол (1-2 мм) в артерию бедра хирурги проводят тончайший катетер непосредственно к сосудам, питающим каждую из опухолей. Через него в очаг вводится высококонцентрированный химиопрепарат (в десятки раз мощнее стандартной химиотерапии), после чего сами сосуды «закупориваются» (эмболизируются), лишая опухоль питания и «запирая» яд внутри нее. Это позволяет избежать тяжелого системного воздействия на организм и добиться максимального эффекта именно в зоне опухоли.
До лечения опухоли кишечника (колоноскопия)

Обзор колоноскопии после трёх вмешательств

Сравнение КТ лёгких до и после лечения. Опухоль лёгких практически инактивирована
(Слева: до лечения, справа: после лечения)
Путь к победе: от отчаяния к уверенности
Лечение дало ошеломляющие результаты: • После двух процедур КТ показало уменьшение очага в легком, а колоноскопия - значительное сокращение опухоли в кишечнике. • Исчезли мучительные симптомы: кашель и кровавый стул. • После семи сеансов опухоль в легком была практически полностью инактивирована, а в кишечнике - уменьшилась на 90%. Путь не был усыпан розами. Однажды у Радика резко упал уровень тромбоцитов, что грозило опасным кровотечением. В момент отчаяния именно настойчивость и профессионализм его лечащего врача, доктора Аденана, и всей команды спасли ситуацию. Быстро проведенная симптоматическая терапия стабилизировала состояние, и лечение было продолжено.

«Я не эксперт, чтобы судить о технологиях, но результат говорит сам за себя. После процедур я не чувствовал боли и уже через сутки мог нормально есть, ходить и жить полноценной жизнью», — делится Радик.
Благодарность и новая жизнь
Сегодня Радик готовится к возвращению к нормальной жизни и работе. Его история — это доказательство силы духа, поддержки семьи (особенно сына, который был его опорой) и возможностей современной медицины. «Я хочу сказать другим людям, борющимся с раком: онкологическая больница ль St.Stamford Modern Cancer Hospital Guangzhou в Гуанчжоу может быть лучшим выбором. Пока есть надежда, есть возможность победить - не упускайте свой шанс на спасение», — обращается Радик к будущим пациентам. Его история, подтвержденная медицинскими заключениями, стала лучшей рекомендацией для врачей в России, которые были поражены достигнутыми результатами.

Радик сфотографировался с врачом.

Вышеуказанный контент, связанный с пациентом, был предоставлен с его разрешения. Результаты лечения могут различаться у разных пациентов. Информация на сайте предназначена исключительно для справки и не может быть использована в качестве основы для медицинской диагностики или лечения, а также не может заменить диагноз и лечение, назначенные врачом.
Ляззат из Казахстана: Сохранение груди при раке IV стадии с помощью малоинвазивных технологий
Юрист, бросившая вызов диагнозу, выбрала точное лечение интервенционной терапией и микроволновой абляцией вместо радикальной мастэктомии
История пациента: Ляззат, 47 лет, юрист, Казахстан. Диагноз: Рак молочной железы IV стадии с множественными метастазами в печень. Тактика лечения: Комбинация интервенционной терапии (химиоэмболизация) и микроволновой абляции (МВА). Результат: Полная регрессия опухоли в молочной железе, уменьшение метастазов в печени более чем вдвое, нормализация функции печени и онкомаркеров. Неожиданная находка: когда привычный мир рухнул Ляззат - успешная женщина из Казахстана, юрист, привыкшая решать сложные задачи в суде, в начале 2025 года столкнулась с самым тяжелым делом в своей жизни. Обследование, начатое из-за усталости и скачков давления, привело к шокирующему открытию: во время УЗИ случайно обнаружили опухоль в печени, а вскоре она сама нащупала уплотнение в груди. Диагноз прозвучал как приговор: рак молочной железы IV стадии с множественными метастазами в печень. Местные врачи настаивали на единственном, по их мнению, варианте: длительном курсе химиотерапии и обязательной мастэктомии - удалении молочной железы. Принципиальное решение: сохранить не только жизнь, но и себя Для сильной и осознанной женщины это было неприемлемо. «Грудь - это не просто орган, это часть моей женской идентичности. Я никогда не соглашусь на ее удаление и должна найти лучшее решение», - так Ляззат сформулировала свою позицию. Она обратилась в клиники Турции, Индии, Южной Кореи, но нигде не получала гарантий, что лечение сможет победить рак и сохранить грудь. В момент отчаяния надежду подарила подруга, порекомендовавшая St.Stamford Modern Cancer Hospital Guangzhou и его малоинвазивные подходы.
Найденная надежда: план «сохранение груди + точное воздействие»
После онлайн-консультации с врачами из Гуанчжоу Ляззат обрела уверенность. Для нее разработали комплексный план, основанный на принципе «сохранения молочной железы и минимально инвазивного вмешательства». Ключевыми элементами стратегии стали: 1. Интервенционная терапия (химоэмболизация): для борьбы с метастазами в печени и системного воздействия. Через микропрокол в паху катетер подводится к артериям, питающим опухоли. Высококонцентрированный химиопрепарат (в десятки раз мощнее стандартного) доставляется точно в цель, а сами сосуды «закупориваются», лишая опухоль питания и «запирая» яд внутри нее. 2. Микроволновая абляция (МВА): для точечного уничтожения опухоли в груди. Под контролем УЗИ через точечный прокол кожи в опухоль вводится тонкая игла-электрод, которая под воздействием микроволн нагревает и разрушает раковые клетки. Это позволило удалить образование размером 2х1 см без разрезов и шрамов, полностью сохранив эстетику груди. «Мне нравится этот метод, потому что он убивает только опухоль, не требует удаления груди и не снижает иммунитет», - отметила Ляззат.


Победа: возвращение к жизни и радости
Результат превзошел все ожидания. После двух курсов комбинированного лечения: • Опухоль в молочной железе полностью исчезла. • Метастатические очаги в печени уменьшились более чем в два раза. • Функция печени и уровень онкомаркеров (РЭА, СА153) пришли в норму. • Вернулись силы, ушла постоянная усталость. Уже в третий визит в Гуанчжоу Ляззат приехала одна, чувствуя себя настолько хорошо, что могла перенести длительный перелет и вернуться к привычной жизни. Ценить настоящее: урок, выученный с достоинством. Сегодня Ляззат не только победила болезнь, но и переосмыслила жизнь. Она благодарна команде врачей в Гуанчжоу за теплоту, поддержку и профессиональную помощь. Она активно практикует дыхательные методики и медитацию для борьбы со стрессом и участвует в жизни клиники. «Жизнь - это дар. У нас она только одна, и мы должны ее ценить, - говорит Ляззат. - Не следует переутомляться, злиться и беспокоиться. Живите настоящим и наслаждайтесь жизнью. В этом ее смысл!» Ее история - это вдохновляющий пример того, как современная медицина позволяет отстоять свое право на целостность и качество жизни даже в самой сложной ситуации.

Ляззат с русским переводчиком нашей больницы.
Вышеуказанный контент, связанный с пациентом, был предоставлен с его разрешения. Результаты лечения могут различаться у разных пациентов. Информация на сайте предназначена исключительно для справки и не может быть использована в качестве основы для медицинской диагностики или лечения, а также не может заменить диагноз и лечение, назначенные врачом.
Мишель из Канады: Возвращение к жизни после рецидива рака груди IV стадии
Комбинация интервенционной терапии и брахитерапии помогла канадской пациентке достичь ремиссии, когда местные врачи прогнозировали лишь 1-2 года жизни.История пациента: Мишель, 36 лет, Канада. Диагноз: Рецидивирующий рак молочной железы IV стадии с метастазами. Тактика лечения: Комбинированная терапия (интервенционная терапия + брахитерапия/имплантация семян). Результат: Значительное уменьшение объема опухоли, купирование болевого синдрома, возвращение мобильности и улучшение качества жизни.

Трудный выбор и неожиданный рецидив
В 2013 году жизнь Мишель, молодой матери четверых детей из Виннипега, изменилась навсегда - ей диагностировали рак молочной железы II стадии. Опасаясь тяжелых побочных эффектов, она отказалась от предложенных химио- и радиотерапии, сделав выбор в пользу мастэктомии и последующей натуротерапии. На несколько лет ей удалось взять болезнь под контроль, но в 2016 году последовал первый рецидив в подмышечных лимфоузлах, а к лету 2017 года состояние резко ухудшилось. Сильнейшие боли, онемение руки и левосторонний паралич приковали ее к постели. Обследование показало неутешительный результат - новая опухоль под ключицей, поразившая нервно-сосудистое сплетение. Рак достиг IV стадии. Канадские врачи предложили лишь паллиативную терапию, прогнозируя не более 1-2 лет жизни
Луч надежды из Гуанчжоу
Отказавшись сдаваться, Мишель через друзей узнала о Гуанчжоуской онкологической больнице St.Stamford Modern Cancer Hospital Guangzhou. Изучив истории выздоровлений таких же пациентов с запущенными диагнозами, она обрела надежду и приняла решение отправиться на лечение в Китай. 30 января 2018 года Мишель в сопровождении отца поступила в клинику. К этому моменту из-за мучительных болей она практически полностью утратила возможность двигаться.

Мишель и её отец.
Точный удар по опухоли: стратегия малоинвазивного лечения Мультидисциплинарная команда врачей (MDT) под руководством доктора Пань Синя разработала для нее индивидуальный комбинированный план, призванный атаковать опухоли с разных флангов с минимальным воздействием на организм: 1. Брахитерапия (имплантация семян): Для точно направленного, высокодозного облучения опухолевых очагов изнутри, минуя здоровые ткани. 2. Интервенционная терапия: Для обработки труднодоступной опухоли возле нервного сплетения. Метод позволяет доставлять высококонцентрированные химиопрепараты точно в сосуды, питающие опухоль, минимизируя системную токсичность и побочные эффекты. «Две опухоли обработаны частицами, а расположенную возле нервов - лечили интервенционным методом с целевыми препаратами», - пояснил доктор Пань Синь.
Возвращение к жизни: от постельного режима к прогулкам по Гуанчжоу

Мишель, её отец и лечащий врач.
Результат не заставил себя ждать. Уже после первой процедуры мучительные боли значительно уменьшились. Курс малоинвазивного лечения позволил не только эффективно бороться с болезнью, но и сохранить качество жизни. «Я счастлива, что выбрала альтернативу традиционному лечению. В Канаде химиотерапия поражает весь организм, а здесь - точечное воздействие без ущерба качеству жизни», - поделилась Мишель. После трех курсов интервенционной терапии и двух сеансов брахитерапии контрольное КТ-исследование показало значительное уменьшение всех опухолевых очагов. Состояние Мишель улучшилось настолько, что она и ее отец, сначала сомневавшиеся в своем выборе, смогли полноценно гулять и осматривать достопримечательности Гуанчжоу. Перед выпиской Мишель обратилась к другим пациентам: «Если ищете лечение с минимальными побочными эффектами - St.Stamford Modern Cancer Hospital Guangzhou поможет. Мы видели, как здесь успешно лечат рак лёгких, груди и кишечника. Эти пациенты - лучшее доказательство эффективности методов. Эта больница дарит надежду!»
Вышеуказанный контент, связанный с пациентом, был предоставлен с его разрешения. Результаты лечения могут различаться у разных пациентов. Информация на сайте предназначена исключительно для справки и не может быть использована в качестве основы для медицинской диагностики или лечения, а также не может заменить диагноз и лечение, назначенные врачом.
История надежды: как Кайшунь из Лаоса побеждает рак печени с помощью малоинвазивных технологий
Международный пациент из Лаоса выбирает современные методы лечения в Гуанчжоу и сохраняет качество жизни на протяжении 5 лет
Знакомство: путь длиною в 5 лет
В 2019 году Кайшунь из Лаоса услышал диагноз - рак печени II стадии. Отвергнув предложение об открытой операции в Таиланде, он выбрал малоинвазивное лечение в Modern Cancer Hospital Guangzhou. Результат превзошел ожидания: после курса процедур он вернулся к активной жизни. Пандемия на 3 года прервала регулярные обследования, что привело к рецидиву. Но как только границы открылись, Кайшунь без колебаний вернулся в Гуанчжоу. В 2023 году врачи провели два малоинвазивных вмешательства, которые стабилизировали его состояние. К маю 2024 года он приехал уже для поддерживающей иммунотерапии - бодрый, полный сил и уверенности в будущем.

Почему Кайшунь доверяет нам?
1. Результаты, а не слова: После двух процедур опухоль уменьшилась на 80%, а показатели здоровья вернулись в норму. «До лечения я готовился к худшему. Сейчас играю в гольф и живу полной жизнью». 2. Без побочных эффектов: В отличие от традиционной химиотерапии, малоинвазивные методы не вызвали ни рвоты, ни выпадения волос, ни хронической усталости. 3. Технологии, опережающие время: Локальное воздействие на опухоль через микропрокол (1–2 мм) позволяет доставлять препараты в 92 раза концентрированнее системной химиотерапии - без вреда для здоровых клеток.
Опыт пациента: комфорт без границ. • Переводчики 24/7 и персонал, говорящий на лаосском и английском. • Организация перелета и виз международным отделом клиники. • Индивидуальное питание с учетом азиатских предпочтений. • Фокус на лечении, а не на бытовых проблемах: «Здесь всё продумано. Я просто доверяю врачам и наслаждаюсь жизнью».

Слова благодарности «Я приехал сюда в третий раз и говорю всем: если ищете лучшее лечение - вам сюда. Здесь спасают даже в самых сложных случаях». Кайшунь не просто пациент - он часть нашей большой международной семьи. Его история доказывает: рак - не приговор, а хроническое заболевание, с которым можно жить десятилетиями.
Вышеуказанный контент, связанный с пациентом, был предоставлен с его разрешения. Результаты лечения могут различаться у разных пациентов. Информация на сайте предназначена исключительно для справки и не может быть использована в качестве основы для медицинской диагностики или лечения, а также не может заменить диагноз и лечение, назначенные врачом.
История надежды: вьетнамский монах побеждает рак печени с помощью нано-ножа и интервенционного лечения
Мастер У Вэньхуа из Вьетнама, диагноз: гепатоцеллюлярная карцинома. После 5 лет ремиссии возвращается к активной жизни благодаря малоинвазивным технологиям.
Испытание: от гепатита С до рака печени
Мастер У Вэньхуа, настоятель храма из провинции Биньтхуан (Вьетнам), посвятил жизнь духовным практикам. В 1999 году у него диагностировали гепатит С, а в 2019 году болезнь переродилась в рак печени. Местные врачи прогнозировали: «Без операции - 3 месяца жизни». Но У Вэньхуа отказался от традиционной хирургии - его пугали риски и долгое восстановление. Случай изменил всё: ученик мастера рассказал об успешном опыте лечения родственника в Modern Cancer Hospital Guangzhou. Ключевое преимущество - «лечение без разрезов» - убедило мастера приехать в Гуанчжоу.
Решение: нано-нож и интервенционная терапия
В июле 2019 года медицинский консилиум клиники разработал для мастера У Вэньхуа персонализированный план: 1. Интервенционная терапия - точечная доставка препаратов к опухоли через сосуды. 2. Нано-нож (необратимая электропорация, IRE) - разрушение опухоли электрическими импульсами без повреждения здоровых тканей. Результаты через 5 месяцев: • Опухоль уменьшилась с 70×60 мм до 22×16 мм. • Исчезли симптомы: головные боли, лихорадка, паралич лицевого нерва. • После курса иммунотерапии достигнута полная ремиссия. «Процедуры безболезненны. После нано-ножа под наркозом я ничего не чувствовал, а после интервенции уже на следующий день мог ходить», - вспоминает мастер У Вэньхуа.

5 лет спустя: жизнь после рака
Сегодня мастер У Вэньхуа: • Управляет храмом и участвует в социальных проектах. • Ежегодно проходит обследования - показатели стабильны. • Путешествует и читает лекции о буддизме. «Рак - не приговор, а хроническая болезнь. Главное - верить в себя и выбрать щадящее лечение», - говорит он.

Почему мастер У Вэньхуа выбрал нас?
• Отказ от традиционной операции - его принципиальное решение. • Доверие к технологиям: нано-нож сохранил качество жизни. • Международный сервис: переводчики, помощь с визами и перелетом.

Лечащий врач, директор Ма: «Мы заключили с мастером У Вэньхуа „десятилетнее соглашение“ - встретимся в 2033 году, чтобы отпраздновать его здоровье!»
Вышеуказанный контент, связанный с пациентом, был предоставлен с его разрешения. Результаты лечения могут различаться у разных пациентов. Информация на сайте предназначена исключительно для справки и не может быть использована в качестве основы для медицинской диагностики или лечения, а также не может заменить диагноз и лечение, назначенные врачом.
История надежды: Мохамад Садыкин из Индонезии побеждает рак легких IV стадии 68-летний пациент вернулся к активной жизни после комплексного малоинвазивного лечения в Гуанчжоу

Вызов: диагноз, который изменил всё
В октябре 2023 года у Мохамада Садыкина из Джакарты появились тревожные симптомы: непрекращающийся кашель, одышка и лихорадка. Обследование выявило рак левого легкого IV стадии с метастазами в печень и плевральным выпотом. Новость шокировала семью: Мохамад потерял 24 кг за две недели, а врачи в Индонезии не предлагали эффективных вариантов. Но его жена не сдалась: «Я сказала мужу: мы сделаем всё возможное. Рак можно победить!»
Решение: путь в Гуанчжоу
Семья обратилась к родственнику, который успешно прошел лечение от рака печени в Modern Cancer Hospital Guangzhou. Через международный сервисный центр в Джакарте они изучили истории пациентов и технологии: • Малоинвазивные методы вместо традиционной хирургии. • Интервенционная терапия - точечная доставка препаратов в опухоль. • Натуральная терапия для поддержки иммунитета. 26 октября 2023 года Мохамад прилетел в Гуанчжоу.
Лечение: комплексный подход. Мультидисциплинарная команда клиники разработала план: 1. Закрытое дренирование грудной клетки - для устранения плеврального выпота. 2. Интервенционная артериальная перфузионная терапия - доставка химиопрепаратов непосредственно в опухоль. 3. Таргетная терапия - блокировка роста раковых клеток. 4. Натуральная терапия - укрепление иммунной системы. «Процедуры напоминали иглоукалывание - без разрезов и боли», - отмечает пациент.
Результаты: от отчаяния к теннису
• Через 2 курса лечения: Кашель и одышка уменьшились, метастазы в легких и печени значительно сократились. • Через 6 месяцев: Плевральный выпот исчез, вес вернулся к норме. • Июнь 2024: Мохамад отдыхал на Бали и играл в теннис.

КТ-снимки подтвердили: опухоль в легком практически исчезла

Почему семья доверилась нам?
• Опыт работы с IV стадией: индивидуальные протоколы для сложных случаев. • Фокус на качестве жизни: лечение без тяжелых побочных эффектов. • Международный сервис: визовая поддержка, переводчики, комфортный стационар. «Персонал стал для нас семьей. Их забота помогла мужу поверить в выздоровление», - говорит жена Мохамада.

Совет от семьи Садыкиных: «Не сдавайтесь! Ищите клинику, где применяют современные методы. Рак сегодня - не приговор, а хроническая болезнь, которую можно контролировать. Доверяйте врачам и поддерживайте близких».

Вышеуказанный контент, связанный с пациентом, был предоставлен с его разрешения. Результаты лечения могут различаться у разных пациентов. Информация на сайте предназначена исключительно для справки и не может быть использована в качестве основы для медицинской диагностики или лечения, а также не может заменить диагноз и лечение, назначенные врачом.
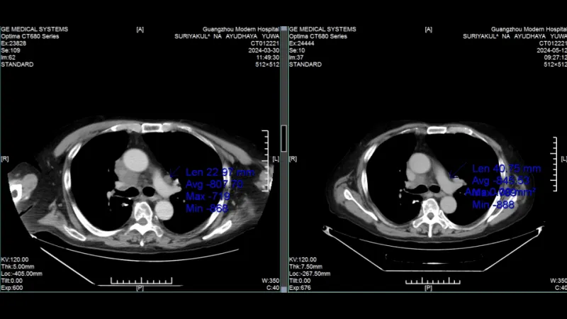
История победы: тайский генерал против рака легких с метастазами
70-летний Сурьякул На Аюдхая Ювануд нашел спасение в малоинвазивных технологиях после рецидива рака

Кризис: когда традиционные методы бессильны
В 2021 году у генерала Ювануда из Таиланда диагностировали рак легких. Несмотря на операцию и курсы химиотерапии, болезнь вернулась с метастазами. Возраст и гипертония сделали дальнейшее традиционное лечение невозможным. К 2023 году состояние ухудшилось: одышка, слабость, необходимость в инвалидном кресле. Семья не сдалась. По рекомендации друга, победившего рак гортани в той же клинике 10 лет назад, генерал обратился в Modern Cancer Hospital Guangzhou.
Прорыв: комплекс малоинвазивных методов
Мультидисциплинарная команда клиники разработала персонализированный план: 1. Интервенционная терапия - доставка химиопрепаратов непосредственно в опухоль через артерии. 2. Имплантация радиоактивных частиц - точечное уничтожение метастазов. 3. Иммунотерапия - активация собственных защитных сил организма. Результат через 2 курса лечения: • Опухоль уменьшилась на 60%. • Исчезли одышка и необходимость в инвалидном кресле. • Риск синдрома верхней полой вены устранен. «Интервенционная терапия бьет точно в цель, не затрагивая здоровые ткани. Это главное преимущество», - отмечает супруга генерала.



Почему выбор пал на Modern Cancer Hospital Guangzhou?
• Доказанный успех: Друг семьи живёт 10 лет в ремиссии после лечения в клинике. • Скорость организации: От консультации в Бангкоке до госпитализации прошло 2 дня. • Полный сервис: Встреча в аэропорту, переводчики, комфортабельный стационар.
Жизнь после лечения Сегодня генерал Ювануд: • Самостоятельно передвигается и путешествует. • Вернулся к активной жизни без болей и одышки. • Проходит поддерживающую терапию с уверенностью в будущем. Его супруга добавляет: «Врачи не только продлили ему жизнь - они вернули ему её качество».

Генерал с главным врачом больницы и медицинской бригадой Modern Cancer Hospital Guangzhou
Обращение к пациентам: «Если вы ищете эффективное и щадящее лечение - выбирайте малоинвазивные методы. Наш опыт доказывает: даже в сложных случаях есть надежда». Семья генерала рекомендует клинику в Гуанчжоу как центр, где инновации сочетаются с заботой, а пациенты становятся частью большой международной семьи.

Генерал и его жена сфотографировались с медицинским персоналом и переводчиками

Душевный разговор генерала с главой больницы
Вышеуказанный контент, связанный с пациентом, был предоставлен с его разрешения. Результаты лечения могут различаться у разных пациентов. Информация на сайте предназначена исключительно для справки и не может быть использована в качестве основы для медицинской диагностики или лечения, а также не может заменить диагноз и лечение, назначенные врачом.
История надежды: Рамли Рукиана из Индонезии побеждает рак легких IV стадии при серьезных сердечных заболеваниях
50-летний пациент с функцией сердца 30% достиг ремиссии благодаря щадящим технологиям в Гуанчжоу
На фото г-н Ли и его жена
Вызов: двойной диагноз
В ноябре 2023 года у Рамли Рукианы из Батама (Индонезия) появилась необъяснимая охриплость голоса. Обследование в Сингапуре выявило шокирующую правду: рак левого легкого IV стадии с метастазами в лимфоузлы. Опухоль размером 1.7 см усугублялась критическим состоянием сердца - функция составляла всего 30%. Местные врачи не предлагали вариантов, кроме рискованной операции. «Я думал, это конец. Боялся рассказывать семье и готовился к худшему», - вспоминает Рамли.
Решение: международный медицинский экспресс
Семья нашла спасение через 30-летний семейный опыт: родственник успешно вылечил рак в Китае. После поисков они выбрали Modern Cancer Hospital Guangzhou: • Удаленная консультация по Zoom с мультидисциплинарной командой. • Гарантия отказа от резекции - акцент на малоинвазивных методах. • Организация перелета через сервисный центр в Медане (Индонезия). В декабре 2023 года Рамли прилетел в Гуанчжоу.

Г-н Ли и его жена с заведующим отделением, врачами и медсестрами
Лечение: интервенционная терапия вместо скальпеля
Команда клиники разработала персонализированный план: Интервенционная терапия - доставка химиопрепаратов непосредственно в опухоль через катетер под контролем КТ. Преимущества для Рамли: • Нет воздействия на сердце и здоровые ткани. • Отсутствие побочных эффектов: тошноты, слабости, выпадения волос. • Минимальное время в стационаре - возможность работать удаленно. «После процедуры я шутил, что готов лететь домой в тот же день!»

На второй день интервенционного лечения г-н Ли сделал групповое фото с женой и другими пациентами
Результат: победа над невозможным
• Через 2 месяца: Опухоль в легком практически исчезла, метастазы в лимфоузлах значительно уменьшились. • Сердечная функция стабилизировалась - лечение не усугубило риски. • Возврат к активной жизни: Рамли общается с пациентами из других стран, используя переводчик, и вдохновляет их своим примером.
КТ-снимки подтвердили: динамика положительная, болезнь отступает
26 февраля 2024 года результаты КТ показали, что опухоль легкого значительно уменьшилась


Во время интервенционного лечения у г-на Ли появился хороший аппетит, и он стал членом «племени чистой тарелки».
Почему Рамли доверился клинике?
• Командный подход: Каждый случай разбирает консилиум из онкологов, кардиологов, радиологов. • Скорость: От диагностики до плана лечения - 2 дня. • Международная поддержка: Переводчики, помощь с визами, комфортабельный стационар. • Доказанный успех: 30-летний опыт семьи с аналогичным диагнозом. «Здесь меня лечили как родного. Врачи стали семьей», - говорит Рамли.

Обращение Рамли к пациентам: «Не сдавайтесь! Ищите клинику, где ценят вашу жизнь и предлагают альтернативы. Рак - не приговор, даже с сердечными заболеваниями. Доверяйте технологиям и верьте в себя».
Вышеуказанный контент, связанный с пациентом, был предоставлен с его разрешения. Результаты лечения могут различаться у разных пациентов. Информация на сайте предназначена исключительно для справки и не может быть использована в качестве основы для медицинской диагностики или лечения, а также не может заменить диагноз и лечение, назначенные врачом.
Путь Лоррейн из Австралии: Вера через океан и возвращение к жизни
При запущенном плоскоклеточном раке молочной железы австралийка нашла шанс в инновационном малоинвазивном лечении в Гуанчжоу.
История пациента: Лоррейн, 61 год, Австралия. Диагноз: Плоскоклеточный рак молочной железы (T4N2M1), поздняя стадия с изъязвлением и кровотечением. Тактика лечения: Эмболизация опухолевых сосудов и внутриартериальная химиотерапия. Результат: После двух процедур достигнута регрессия опухоли на 60%, восстановлена мобильность и улучшено качество жизни.
Неожиданная находка и потеря надежды на родине
Летом 2024 года жизнь Лоррейн из Перта изменилась навсегда. После несчастного случая в ходе медицинского обследования у нее было обнаружено небольшое уплотнение в груди. Несмотря на лечение, через три месяца опухоль прогрессировала. После длительного обследования, включавшего ПЭТ и биопсию, был поставлен суровый диагноз - плоскоклеточный рак молочной железы на поздней стадии. Местные врачи сообщили, что радикальное лечение невозможно, и предложили только паллиативную терапию. Не желая сдаваться, Лоррейн и ее семья начали активный поиск альтернатив. Именно в интернете они обнаружили информацию о современных малоинвазивных методах лечения, таких как эмболизация опухолей, и вышли на специалистов онкологической клиники в Гуанчжоу.
Шок и прорыв: комплексный подход к тяжелому случаю
К моменту госпитализации в феврале 2025 года состояние Лоррейн было крайне тяжелым. Огромная изъязвленная опухоль размером 14х8х14 см вызывала кровопотерю, требовавшую частых переливаний. Из-за болезни она потеряла 30 кг и практически не могла передвигаться. Мультидисциплинарная команда врачей провела углубленную диагностику и немедленно приступила к работе. Первым шагом стала стабилизация общего состояния: коррекция работы почек и сердца. После этого Лоррейн прошла два сеанса эндоваскулярного лечения - артериальной химиоэмболизации.
Суть технологии:
Через минимальный прокол (1-2 мм) в бедренной артерии под контролем рентгена тонкий катетер проводится непосредственно к сосудам, питающим опухоль, через него в очаг подается высококонцентрированный химиопрепарат (в десятки раз превышающий концентрацию при системной химиотерапии), после чего сосуды «закупориваются» (эмболизируются). Это позволяет лишить опухоль питания и «запереть» лекарство непосредственно в ней, минимизируя воздействие на здоровые ткани.

Результат, вернувший веру Эффект от лечения превзошел ожидания.
После двух процедур опухоль уменьшилась на 60%, что позволило остановить кровотечение и значительно улучшить самочувствие Лоррейн. Она не только встала на ноги, но и вернула себе самостоятельность.

«Я счастлива, что настояла на своем. Здесь мне не только подарили шанс на жизнь, но и подробно объяснили каждый шаг лечения. Персонал невероятно внимателен и профессионален. Я хочу верить в полное выздоровление и надеюсь, что моя история придаст сил другим пациентам не сдаваться и искать возможности», - говорит Лоррейн. Контрольное обследование в апреле 2025 года подтвердило стойкую положительную динамику. История Лоррейн - это пример того, как вера в современную медицину и готовность к решительным шагам способны победить даже самый сложный диагноз.
Вышеуказанный контент, связанный с пациентом, был предоставлен с его разрешения. Результаты лечения могут различаться у разных пациентов. Информация на сайте предназначена исключительно для справки и не может быть использована в качестве основы для медицинской диагностики или лечения, а также не может заменить диагноз и лечение, назначенные врачом.
Элизабет из Нидерландов: Возвращение к жизни после рецидива трижды негативного рака молочной железы
Когда медицина Европы сказала «неизлечимо», интервенционная терапия в Гуанчжоу помогла взять болезнь под контроль и вернуть качество жизни.
История пациента: Элизабет, 44 года, Нидерланды. Диагноз: Рецидивирующий трижды негативный рак молочной железы (TNBC) с инвазией в грудную стенку и метастазами в лимфоузлы. Тактика лечения: Курс интервенционной терапии в рамках комплексного малоинвазивного подхода. Результат: Стабилизация процесса, уменьшение болевого синдрома, набор веса с 48 до 52 кг и возвращение к активной жизни.
Суровый диагноз и тяжелый путь традиционного лечения
В апреле 2022 года жизнь Элизабет из Нидерландов разделилась на «до» и «после». Самостоятельно обнаружив болезненное уплотнение в груди, она услышала один из самых агрессивных диагнозов в онкологии - трижды негативный рак молочной железы (TNBC). Несмотря на пройденные курсы химиотерапии, значимого улучшения достичь не удалось. Следуя протоколу, Элизабет перенесла органосохраняющую операцию и химиолучевую терапию. Побочные эффекты лечения были разрушительными: полная потеря аппетита, снижение веса на 20 кг и кардинальное изменение внешности. Несмотря на это, она сохраняла надежду, услышав от врачей, что опухоль удалена полностью.
Неожиданный рецидив и приговор «лечение невозможно»
Эта надежда оказалась недолгой. Спустя год, в сентябре 2023-го, в области послеоперационного рубца появилась болезненная киста. Обследование ПЭТ-КТ подтвердило худшие опасения - рецидив рака с прорастанием в грудную стенку и метастазами в лимфоузлы. Местные врачи с сожалением констатировали, что в арсенале нидерландской медицины не осталось подходящих для ее случая методов лечения. Элизабет погрузилась в отчаяние.
Луч надежды: малоинвазивные методы в Гуанчжоу
Отказавшись сдаваться, Элизабет начала искать альтернативы в интернете. Именно там она обнаружила Гуанчжоускую современную онкологическую больницу St. Stamford Modern Cancer Hospital Guangzhou и истории пациентов в похожей ситуации, которым помогли малоинвазивные методы. «Во время онлайн-консультации заведующий отделением доктор Ма сказал мне: «Мы можем вам помочь». Эти слова вернули мне веру. Он объяснил, что у них есть целый арсенал методик, и если одна не сработает, они попробуют другую. Это дало мне невероятную надежду», - вспоминает Элизабет. Приняв решение, она вместе с мужем отправилась в Китай.

Точное воздействие без побочных эффектов В ноябре 2023 года мультидисциплинарная команда госпиталя (MDT) разработала для Элизабет индивидуальный план лечения, центральным элементом которого стала интервенционная терапия.
Суть метода: Под контролем визуализации через микропрокол (2 мм) в бедренной артерии тончайший катетер проводится непосредственно к сосудам, питающим опухоль. Через него подается высококонцентрированный противоопухолевый препарат, создавая концентрацию в 8-10 раз выше, чем при стандартной химиотерапии, при этом не затрагивая здоровые ткани. Процедура заняла около часа и переносилась значительно легче. «После вмешательства я чувствовала лишь слабость, но не было ни тошноты, ни рвоты. К вечеру я уже могла нормально поужинать. Это несравнимо с тем, что я пережила после химиотерапии дома», - говорит Элизабет.

Результат, который говорит сам за себя
После трех курсов интервенционной терапии состояние Элизабет кардинально улучшилось: • Постепенно ушла мучительная боль в груди. • Вернулся аппетит, а вес увеличился с 48 до 52 кг. • Появились силы и энергия для полноценной жизни. Контрольное КТ-исследование подтвердило успех: опухоль продолжала уменьшаться, а все ключевые показатели организма пришли в норму. Лечащий врач, доктор Чжай, с радостью сообщил: «Болезнь под контролем!». Ярким доказательством выздоровления для самой Элизабет стала полноценная пятичасовая прогулка по достопримечательностям Гуанчжоу. «То, что я выдержала эту прогулку, доказывает, что моё здоровье улучшилось. Даже муж гордо сказал: «Ты молодец!»

Элизабет также отмечает особую, человечную атмосферу в госпитале, где персонал внимателен к каждой мелочи и всегда готов помочь, и благодарит свою семью за непрерывную поддержку. «Хотя лечение ещё продолжается, я твёрдо верю: впереди меня ждёт лучшее будущее! Я нашла здесь надежду и хочу, чтобы и другие пациенты не сдавались и искали свои возможности для борьбы», - заключает Элизабет.

Вышеуказанный контент, связанный с пациентом, был предоставлен с его разрешения. Результаты лечения могут различаться у разных пациентов. Информация на сайте предназначена исключительно для справки и не может быть использована в качестве основы для медицинской диагностики или лечения, а также не может заменить диагноз и лечение, назначенные врачом.
